Hvorfor kan fedtet på maven være farligt?

Slanke mennesker kan også have livsfarligt mavefedt. Tjek tegnene på farligt mavefedt her og bliv samtidig klogere på, hvordan du bedst taber mavefedt.

Glade kvinder i undertøj

Det er ikke ligegyldigt, hvor på kroppen dit fedt er placeret.

© iStock

Fedtets placering er vigtigst

Læger og eksperter er begyndt at fokusere meget mere på fedtets placering på kroppen end på mængden af fedt. Tynd er nemlig ikke nødvendigvis lig med sund, hvis du lider af det, der populært kaldes tyndfedme.

Tyndfedme dækker over, at du godt kan være slank, men alligevel gemme på fedt inde i bughulen mellem indvoldene og rundt om organerne. Når fedt ophobes her, skyldes det ofte en usund og inaktiv livsstil.

Fedtvæv i bughulen er meget mere skadeligt for din sundhed end det fedt, der sidder eksempelvis på bagdelen og lårene. Fedtet i maveregionen udskiller nemlig skadelige signalstoffer, der via bughulens store blodårer kommer ud og rundt i hele organismen. Her fører de til en øget risiko for insulinresistens, som er forstadiet til sukkersyge og en lang række andre helbredstrusler. Netop derfor er det vigtigt, at du får afsløret dit bughulefedt (hvis du har det) – og komme det til livs.

Om du reelt bærer rundt på det farlige bugfedt, kan kun en skanning afsløre. Der er dog en række kendetegn, der kan indikere, om det er tilfældet eller ej. Tjek listen herunder, og få tips til at kommer noget af fedtet til livs.

Sådan slipper du af med farligt mavefedt

Tjek, om dit mavefedt sidder lige under huden

Sådan konstaterer du det:

Se dig i spejlet! Er du udspilet, men udspiletheden varierer fra dag til dag, er der formentlig ingen fare på færde. Det indikerer nemlig, at det ikke er fedt, men dine tarme, der er problemet. Fx som konsekvens af at du spiser madvarer, som irriterer fordøjelsen.
Er der en synlig delle, er der heller ikke umiddelbart grund til bekymring, medmindre dellen ligger uden på en mave, der strutter ud i rummet. Andre kendetegn:

  • Dit taljemål er over 80 cm.
  • Du kan let gribe fat i en delle på maven og får fat i en solid håndfuld.
  • Din mave “flyder ud” og bliver væsentligt fladere, når du lægger dig ned, i forhold til når du står op.

Læs også: Hvad er en normal fedtprocent for mig?

Sundhed:

Ved denne type mavefedt sker der kun en mindre udskillelse af skadelige cytokiner til blodbanen, ligesom fedtet ikke sætter sig direkte omkring de indre organer og hæmmer deres funktion. Alt fedt på maven vurderes dog til at være mindre sundt end fedt på lår og bagdel, så du gør stadig dit helbred en tjeneste ved at minimere det, hvis du vejer for meget.

Derfor får du det:

Kort og godt - du spiser flere kalorier, end du forbrænder, og så kan du ellers takke dine forældre, da vores kropssammensætning formentlig er påvirket en hel del af arvelige faktorer.

Sådan forebygger du det:

Opskriften er simpel – og så alligevel svær. Du skal nemlig forsøge ikke at spise mere, end du forbrænder. Det kan de fleste af os komme i mål med, hvis vi holder igen med madvarer med lav mæthedsværdi, fx slik og sodavand, hvidt brød, pasta og ris. Desuden er det vigtigt at være aktiv og dyrke motion flere gange om ugen samt sørge for at få sin nattesøvn.

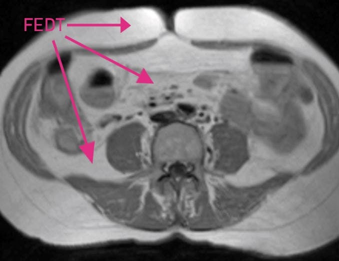
Mavefedt lige under huden

MAVEFEDT LIGE UNDER HUDEN Tværsnit af mave. Personen her har en del mavefedt (det hvide) lige under huden, men har minimalt med fedt mellem indvoldene.

Tjek, om dit mavefedt sidder mellem indvoldene

Sådan konstaterer du det:

Der skal en MR-skanning til for at konstatere, om du har fedt mellem organerne. Befinder du dig i risikozonen, så tal evt med din læge om en henvisning. men du kan også skele til følgende kendetegn:

  • Din mave bevarer stort set sin facon, uanset om du står op eller ligger ned.

  • Dit taljemål er målt på det kraftigste sted over hoften over 88 cm.

Læs også: Taljemålet er vigtigt, sådan måler du det

Sundhed:

Undersøgelser viser, at fedt mellem indvoldene disponerer kraftigt for alle de sygdomme, der er knyttet til svær overvægt. Det gælder både sukkersyge, hjerte-kar-sygdomme, blodtryksforhøjelse, visse kræftformer, gigtlidelser, manglende fertilitet og meget andet.

Derfor får du det:

Der er en øget risiko for at få for meget mavefedt mellem indvoldene, hvis du dyrker meget lidt eller slet ingen motion. Bedre bliver det ikke, hvis den manglende bevægelse kombineres med for mange kulhydrater i form af fx slik, lyst brød, kage og sodavand. Alkohol disponerer ligeledes for fedtophobning i bughulen, ligesom stress og søvnmangel øger risikoen.

Sådan forebygger du det:

Rådet er det samme, uanset hvilken type mavefedt du har – rør dig dagligt, og dyrk fysisk krævende motion minimum tre gange om ugen. Sørg desuden for en livsstil med en sund kost, god nattesøvn og nul rygning.

Læs også: Talje/hofte-ratio: Test din fedtfordeling

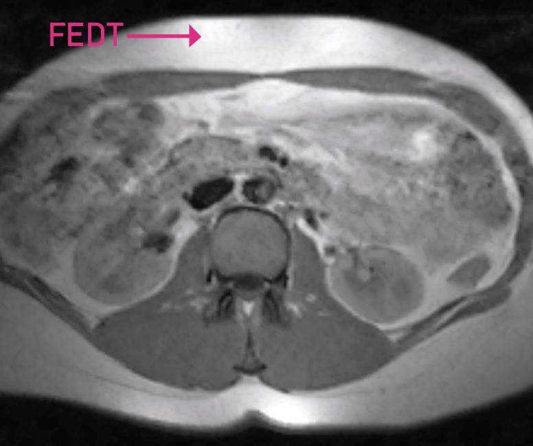
Mavefedt mellem indvoldene

MAVEFEDT MELLEM INDVOLDENE Tværsnit af mave. Personen her har både meget mavefedt (det hvide) lige under huden og inde mellem indvoldene.

Slip af med farligt mavefedt

Uanset om dit mavefedt sidder mellem indvoldene eller lige under huden, er det en god idé at tabe sig, hvis du vejer meget for meget. Hvis du følger disse tips er det for de fleste realistisk at tab ½-1 kilo fedt om ugen.

LÆS OGSÅ: BMI-BEREGNER - Regn ud, om din vægt er normal

1. Skær ned på kalorierne

Først og fremmest skal du spise mindre, end du forbrænder. Stræb efter at få cirka 1500 kcal om dagen.

Energifordelingen hen over dagen kunne se sådan ud:

  • Morgenmad 20-25 %
  • Formiddag 10 %
  • Frokost 20-25 %
  • Eftermiddag 15-20 %
  • Aften 25-30 %

Hvis du ved, at du når at blive sulten inden sengetid, så spis lidt mindre til aftensmaden, og gem lidt kalorier til en aftensnack.

Vi kender alt for godt din lille sult. Derfor vrimler I FORMs hjemmeside med opskrifter på sunde snacks

2. Dyrk motion

Ud over at du forbrænder en masse kalorier, når du rører dig, er en central pointe ved at motionere, at du ”vækker” musklerne, så de i stigende grad aftager fedt og kulhydrat fra blodbanen. Det hjælper dig med at komme mavefedtet til livs og forebygger samtidig ophobning af fedt i bughulen. Både kredsløbstræning og styrketræning bidrager til en sundere kropskemi. Derfor er det optimalt, hvis du vælger motion, der involverer kroppens store muskelgrupper og både indeholder udholdende distancetræning og eksplosive kraftudfoldelser. Lav fx cirkeltræning, hvor du får arbejdet hele kroppen godt og grundigt igennem. Ud over decideret træning 3-4 gange om ugen er det vigtigt, at du bevæger dig dagligt. Gå fx lang tur på de dage, du ikke træner.

Her kan du finde det træningsprogram, der matcher dine behov bedst

3. Spis blodsukkervenligt

Spis gerne et måltid hver tredje time. Lad det indeholde 15-25 g kulhydrat. Samlet for dagen bør du ikke overstige 100 g kulhydrat, medmindre du træner. Vælg konsekvent grove grønsager som fx ærter, broccoli og blomkål.

Spis altid et måltid, hvor der både er protein, fedt og kulhydrat i. Mindstemålet for proteiner er 15 g pr. måltid.

For at opnå en langvarig mæthed skal du have proteiner i alle måltider. Protein fordøjes i mavesækken - i modsætning til andre næringsstoffer. Den proces tager tid, og derfor ligger et proteinrigt måltid i længere tid og fylder i maven. Det er perfekt, for proteinerne forsinker optagelsen af madens kulhydrater fra mavesækken, så de ikke drøner lige ned i tarmen og sender blodsukkeret i vejret. Langsom optagelse af kulhydrater er lig med mindre blodsukkerstress og dermed mindre fedt på maven.

Mangler du inspiration til lette og sunde opskrifter? Find dem her

4. Stress mindre

Få styr på din stress – det er af afgørende betydning for at få mavefedtet væk. Vend blikket indad, og gå din hverdag igennem. Er du jævnligt stresset, så overvej, om du kan gøre noget for at reducere problemet. En god metode er at øve dig i mindfulness. En simpel 20-minutters meditation fra morgenstunden gør underværker for stressniveauet.

Husk også, at en rask gåtur eller træning med smil har en god virkning på stress.

Er du stresset?Her er 4 tips til en mindre stresset hverdag

5. Sov godt

Din nattesøvn har en afgørende indflydelse på dit overskud. Få prioriteret sengetiden, så du får minimum syv timers søvn. Vigtigere end varigheden er dog, at du vågner frisk og veludhvilet. Du kan påvirke søvnkvaliteten ved at undgå opkvikkende stimulanser i aftentimerne, dæmpe lyset de sidste timer før sengetid og holde dig fra mails og sms'er i de sene aftentimer. En god dyne, plads i sengen, grundig mørklægning og frisk luft i rummet er med til at understøtte søvnkvaliteten.

Har du styr på søvnen?Test her hvor mange søvn-fejl, du begår

6. Pas på med alkohol

Alkohol øger risikoen for mavefedt og bremser desuden kroppens fedtforbrænding. Derfor er det afgørende, at du reducerer mængden af alkohol til et minimum, fx to genstande om ugen (1 genstand svarer til 1 øl, 1 glas vin eller 1 lille drink).

Læs også, hvor meget alkohol påvirker din træning

7. Vælg det rigtige fedt

Vær ikke bange for fedt i dine måltider. Så længe du holder styr på kalorierne, er fedt ikke farligt. Tværtimod er fedt med til at gøre et måltid blodsukkervenligt. Og prioriterer du i sær at få sunde enkeltumættede fedtsyrer, kan fedtet sågar vær med til at minimere din risiko for nogle af de livsstilssygdomme, der normalt kædes sammen med for meget mavefedt.

Du får enkeltumættet fedt fra:

  • Olivenolie
  • Rapsolie
  • Pekannødder
  • Hasselnødder
  • Mandler og cashewnødder
  • Oliven
  • Jordnødder og paranødder
  • Avocado

Gode og dårlige fedtstoffer - kend forskellen her.